- Targeted Treatment: Specifically treats peri-implantitis by addressing infection and inflammation around dental implants.
- Minimally Invasive: Utilizes laser technology to remove infected tissue while preserving healthy tissue.
- Regenerative Approach: Encourages the body’s natural healing, promoting new tissue and potential bone growth around the implant.
Laser Treatment for Failing Implants (LAPIP)
LAPIP (Laser Assisted Peri-Implantitis Procedure) is a minimally invasive laser treatment designed to address peri-implantitis, a condition involving infection and inflammation of the tissue and bone around dental implants. Using the PerioLase MVP-7 laser, LAPIP removes infected tissue, eliminates bacteria, and stimulates tissue and bone regeneration to promote implant stability. It offers a less invasive, cost-effective alternative to traditional surgery or implant replacement.
What is LAPIP?
How LAPIP Works
-
- Laser Targeting: The PerioLase MVP-7 laser precisely targets and removes infected tissue and bacteria in gum pockets surrounding the implant.
- Bacterial Removal: The laser vaporizes bacteria and contaminants, creating a clean environment for healing.
- Tissue Regeneration: Stimulates the growth of healthy tissue and supports bone regeneration around the implant.
- Clot Formation: Forms a protective blood clot to seal the treated area and prevent further infection.
Benefits of LAPIP
-
- Less Invasive: Reduces pain, discomfort, and recovery time compared to traditional surgical methods.
- Preserves Healthy Tissue: Targets only infected areas, sparing healthy tissue.
- Cost-Effective: Often more affordable than replacing a failing implant.
- High Success Rate: Studies show effective implant stabilization and bone reintegration following LAPIP treatment.
Risks Impacting Dental Implant Success
The success of dental implant procedures relies on multiple factors, but certain health conditions and habits can increase the chances of implant instability. Gum infections and teeth grinding (bruxism) may compromise an implant during its recovery period, while conditions such as osteoporosis, which reduce bone strength and density, can prevent the implant screw from securing firmly. Ongoing cancer therapies, especially radiation treatments, may also hinder bone healing, potentially requiring a pause in implant placement.
Some medications can elevate the risk of implant complications. Studies from the University at Buffalo suggest that specific antidepressants, which influence bone metabolism rates, may interfere with osseointegration in patients taking these drugs.
Smoking can further contribute to implant failure, with the risk varying depending on the implant’s position in the oral cavity.
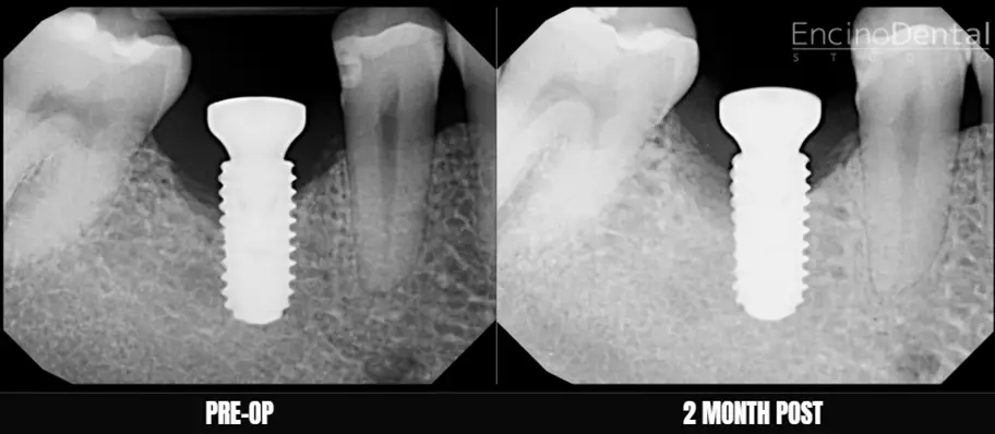
Before and After LAPIP at Encino Dental Studio
Key Contributors to Dental Implant Failure
-
- Gum infections (Peri-Implantitis)
- Teeth grinding (Bruxism)
- Osteoporosis
- Cancer therapies/Radiation treatment
- Certain medications
- Smoking
- Inadequate diagnostic imaging
- Incomplete patient medical history
Advantages of LAPIP for Failing Implants vs. Gum Disease
LAPIP laser treatment for failing implants offers a precise, minimally invasive alternative to traditional gum disease treatments. Unlike invasive surgeries or antibiotics, LAPIP targets infected tissue, promotes faster healing, and preserves implants with less pain and quicker recovery, ensuring a healthier smile.
Our aim
At Encino Dental Studio, we understand that maintaining your dental implants as you age is crucial for your comfort and confidence. Our advanced laser treatment for failing implants offers a gentle, effective solution tailored to the needs of older adults. This minimally invasive procedure promotes faster healing, reduces discomfort, and helps preserve your smile without the stress of extensive surgery. With our experienced team and cutting-edge technology, we’re committed to restoring your oral health, so you can continue enjoying life’s moments with ease and assurance.
