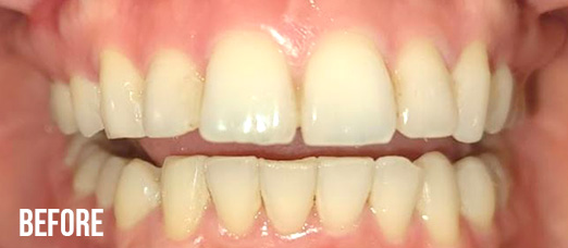
The main reasons yellowing and discoloration occur are the foods and beverages people consume. Some foods including red wine, coffee, tea, spices, and dark berries have pigments in them that stain teeth. Tobacco products also make teeth very yellow, and poor dental hygiene habits can contribute to yellowing. When patients don’t have their teeth professionally cleaned on a routine basis it can also make staining occur more often. Some tooth staining is deep inside the tooth. To correct this type of discoloration, veneers or crowns may be required.
Teeth Whitening
Whitening teeth is a great way to boost your confidence and put your best “tooth” forward. At Encino Dental Studios, our dentists can help patients get the bright, white smiles they desire.
”Dr. Jamsheed is the best dentist in Los Angeles. He is professional, trustworthy, highly skilled, and extremely caring about his patients. The work he does is simply beautiful! I would give more than 5 stars if I could!
Sapana S.
Why do teeth become yellow and stained?
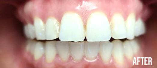
How is teeth whitening performed?
Teeth whitening uses a special gel created for dental use. When this gel is applied to teeth, it helps remove discoloration and yellowing to reveal brighter, whiter smiles. Whitening can be performed at the office or with take-home kits provided by the dentist. In the office, when a whitening treatment is used the staining agents break down and oxygen is forced through the enamel. This makes stains quickly disappear without damaging the tooth’s structure. For at home kits, impressions are taken and then custom whitening trays are made from these impressions. At night when patients are home, they fill up the trays with a gentle solution and then simply place them in the mouth. They can then resume normal activities. Patients can see results in as little as two weeks.
How long will my results last?
The results of professional whitening treatments can last for quite a while, in some instances longer than a year. Results of in-office whitening can last even longer when patients use take-home kits to touch up results in between appointments.
Is professional whitening better than over-the-counter kits?
Professional whitening treatments use products and techniques which are made to provide better, longer-lasting results in addition to more complete, consistent coverage unlike one-size-fits-all products for sale in stores. Additionally, since whitening at the office is overseen by a professional, concerns and questions can be addressed right away.
IN-HOUSE WHITENING TREATMENT
